No Insurance? No Problem. Learn more about our Patient specials
Leave Us a Google Review

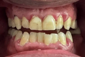
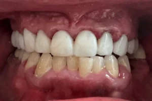
New Wave Dental Smile Gallery

Real Results from Happy Patients

Explore before-and-after transformations from New Wave Dental patients in Raleigh, NC and see how our cosmetic and restorative treatments create beautiful, confident smiles.
before after 5before after 6
Before
after
before after 7before after 8
Before
after

What People Are Saying

“I don’t typically leave reviews (nor enjoy going to the dentist), but they 100% deserve it. The entire team is extremely friendly, genuine, and knowledgeable. Would recommend this office to anyone looking for a new dentist.”
Tyler H.
Google
“This dental office is by far the best I’ve ever been to. The whole team is personable and very knowledgeable as well as fun to be around. They will make sure you get taken care of. My experience was a 10/10 and I would recommend this office to anyone!”
Jamil
Google
“I am grateful to have found this office. I am impressed by how quickly I was able to get an appointment for my dental emergency. The team was friendly, patient, and knowledgeable. My dental hygienist was very thoughtful and caring. I can tell that she is passionate about her work and helping others. Thank you, team!”
D. Night
Google
“This was the best dental facility that I’ve been to in years. They were extremely informative and went above and beyond my expectations. It was a knowledgeable experience and also very personable. They really seemed to care about my problems and also gave me options about my procedures. The team was cordial and friendly and the best I’ve met in years. I have made them my family’s permanent dental care provider.”
Karen A.
Google
“My experience here was outstanding! Their customer service was exactly what I was looking for as a first time customer—from the young lady who set my appointment, to the most patient and sweet dental assistant who kindly answered all my questions. Now I can’t forget about the dentist, who took time out to walk me to their pharmacy in the building. I recommend this office for an amazing experience and even more amazing people.”
Brittney R.
Google
“It has been years since I have gone to the dentist due to anxiety. Best experience I could ask for! The hygienist was kind and understanding. She calmed my nerves and explained everything. The assistant was knowledgeable and comforting. The front desk gave me finance options and the dentist was the most down to earth dentist I’ve met. I will definitely return and tell everyone to come here.”
Scott D.
Google
“I had to find a new dentist and came across this office because of a toothache. I cannot tell you how wonderful everyone was. They did everything to keep me calm and were so helpful. The front desk was excellent. I had a chance to meet the dentist who was so personable and kind. I was so happy to be in such an awesome environment. I recommend this office very highly!”
Lisa R.
Google
“I called and was able to be seen the same day. The dentist was friendly and informative. I felt like I was talking to an old friend and never experienced any pain while she was working with me. My son was also seen and he enjoyed the visit as well. Overall this was the best experience I could’ve hoped for and they will be my new established dentist going forward.”
Kiara M.
Google
menucross-circle